What is scoliosis?
Scoliosis is a spinal disorder that can be caused either by hereditary or developmental factors (metabolic, habitual postures, lack of exercise etc) and its primary distinct feature is the abnormal sideways curvature of the spine.
What causes scoliosis?
There are over 80 types of scoliosis including those that have unknown causes (idiopathic scoliosis). Some examples of scoliosis include:
- Adolescent idiopathic scoliosis (scoliosis without a known cause that affects adolescents).
- Degenerative scoliosis.
- Congenital scoliosis (caused by birth defects).
- Scoliosis caused by injuries to the spine.
Scoliosis symptoms
Mild scoliosis is often difficult to detect, especially because any spinal deformity is not visible to the naked eye.
However, since its onset, scoliosis weakens the stability of the spine and can lead to serious problems, such as issues with balance, back pain, as well as changes in the spinal fluids, and other symptoms. This results in general fatigue, depression, exhaustion, stress, headaches, irritability and organ dysfunctions.
If an abnormal scoliosis-specific (sideways) curve in the spine from is visible, however, apart from this deformity, the sufferer may also present an imbalance with the hips, where the hips are tilted, with one hip higher than the other. In some cases, it can be associated with short leg syndrome.
An imbalance may also be present at the level of the shoulders, where one shoulder is more raised than the other.
In more extreme cases, scoliosis may also cause breathing problems, as the unevenness of the spinal curvature places a burden on the sufferer’s lungs.
Scoliosis pain may become worse when changing position.
In some scoliosis patients, there are cases where this can become a progressive condition. Scoliosis progression typically takes place as one ages.
Scoliosis Treatment
Scoliosis of up to 40 degrees can be treated non-surgically, even in adults whose spine has stopped growing. There are various natural remedies and natural treatments and pain management options to address the symptoms of adult scoliosis naturally.
That being said, spinal mobilisation should be the primary focus in a treatment plan meant to address this issue. Mobilisation is an essential and effective treatment approach for scoliosis as it aims to open up the articulations (joints) of the spine and to restore their passive mobility (movements of the joints themselves).
A regular program of active muscular exercises can then be set for the patient when the passive mobility of the joints has been restored as much as possible.
Additionally, people with scoliosis may benefit from the following management and treatment options:
- Working with a physical therapist to re-mobilise the spine through physical therapy and scoliosis exercises to improve your overall spinal health.
- Getting chiropractic care and chiropractic adjustments regularly to mobilise the spine, although this should be done with caution.
- For adolescents with scoliosis: wear a back brace during a growth spurt to correct how the spine forms as it continues to develop. Scoliosis correction is something that can only be done during a growth period.
- Participating in a support group for scoliosis sufferers, to take care of any negative effects that scoliosis may have on a person’s mental wellbeing, and also to learn about the struggles and treatment methods that worked for other people with the same issue.
Treat Back Pain Caused by Scoliosis Safely At Home with the Spinal Backrack
Why Use The Backrack for Back Pain Caused By Scoliosis
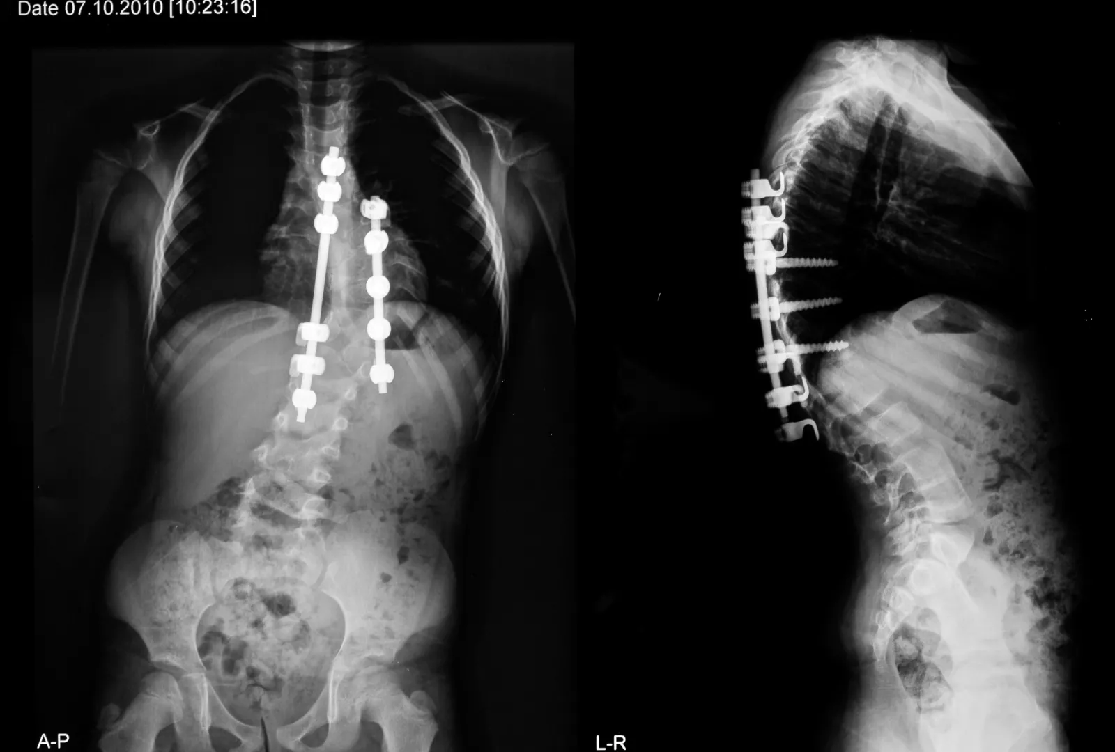
Although spinal surgery (scoliosis surgery) is not ruled out for the treatment of this scoliosis condition, it should be reserved only for extreme cases (abnormal curvatures over 40 degrees) as it always produces scar tissue which becomes semi-necrotised.
Additionally, because every single muscle of the back consists of strips of tissue material and every surgical incision produces local devascularisation or de-oxygenation, this may lead among other things to muscle spasms. In other words, surgery may cause more problems than the patient had prior to the procedure.
It can safely be said that for the vast majority of spinal conditions surgery, and especially spinal fusion surgery, is neither necessary nor effective, as it almost always leads to long term complications and suffering for the patient, out of all proportion to the original condition.
And that is why the Spinal Backrack is highly recommended for the treatment of symptoms associated with scoliosis. It doesn’t add and it doesn’t take away anything from your spine. It is a natural approach to the pain people who suffer from scoliosis experience.
It must be noted that the Backrack treats the pain caused by the disorder and DOES NOT treat scoliosis itself.
Author: Spinal Backrack





